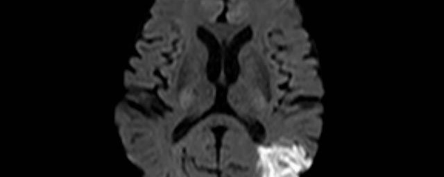
Magnetresonanztomographie (MRT)
Die Magnetresonanztomographie (MRT) wurde als bildgebendes Verfahren ab 1973 vor allem von Paul C. Lauterbur und Sir Peter Mansfield entwickelt.
In den letzten Jahren hat sich die Methode stark weiterentwickelt und in der medizinischen Diagnostik etabliert.
Im Magnetresonanztomographen liegt die zu untersuchende Person in einem starken, homogenen Magnetfeld. Dieses Magnetfeld bewirkt eine gemeinsame Ausrichtung der Wasserstoffprotonen im Körper entlang der Längsachse des Magnetfeldes. Wird nun diesen Teilchen Energie in Form von Radiowellen in einer genau abgegrenzten Frequenz zugeführt, so werden sie aus ihrer ursprünglichen Orientierung abgelenkt.
Die zugeführte Energie wird in gewebespezifischer Weise wieder abgegeben. Ein hochempfindliches Computersystem misst die unterschiedliche Energieabgabe und setzt sie in Bildinformationen um. Jede Körperregion kann somit durch Schnittbilder in allen Raumebenen oder durch dreidimensionale Rekonstruktionen mit einem exzellenten Weichteilkontrast dargestellt werden. Es besteht keine Belastung durch Röntgenstrahlen.
Die MRT wird immer dann eingesetzt, wenn Verfahren mit Röntgen oder Ultraschall keine klaren Aussagen liefern können oder wenn dynamische Prozesse des Körpers untersucht werden sollen.
Die Aussagefähigkeit der MRT ist bei den folgenden Fragestellungen besonders geeignet. Zur Einschätzung der Wertigkeit der MRT gegenüber anderen bildgebenden Verfahren, wie Computertomographie, Sonographie oder Röntgen stehen Ihnen unsere radiologischen Fachärzte zur Verfügung.

Durchführung am Standort im Diakonissenkrankenhaus.
- kardiale Ischämiediagnostik mit medikamentöser Stress-MRT (Adenosin)
- Infarktnarbendarstellung/Vitalität
- Kardiomyopathien (z.B. Myokarditis, DCM, HCM/HOCM, Amyloidose, Sarkoidose)
- Klappenbeurteilung mit Phasenkontrastangiographie
- Tumoren Herz und Mediastinum
- Fehlbildungen
- MR-Angiographie zur Erfassung und Verlaufskontrolle von Aneurysmen der Aorta thorakalis und ihrer Gefäßabgänge
Durchführung am Standort im Diakonissenkrankenhaus.
Unter bestimmten Fragestellungen kommt in der Diagnostik und Nachsorge von Brusterkrankungen zusätzlich die Magnetresonanztomographie zur Anwendung.
Diese Untersuchung erfolgt in der Regel in Ergänzung zu Mammographie und Ultraschall, sie ersetzt diese Untersuchungen nicht.
Ob eine MRT bei Ihnen notwendig ist, bespricht der Arzt/die Ärztin im Anschluss an Ihre Mammographie-Untersuchung.
Indikationen für eine Mamma-MRT
- Nach Aufbauplastik der Brustdrüse mit Prothesen, vor allem mit Silikonimplantaten, kann durch Mammographie und Ultraschall das (Drüsen-) Gewebe hinter dem Implantat nur ungenügend beurteilt werden. Außerdem kann die Magnetresonanztomographie Komplikationen der Implantate, insbesondere Defekte, vollständig erfassen und darstellen.
- Nach Operationen der Brustdrüse bei Brustkrebs (Brust-erhaltende OP) ist die Beurteilung der Narbe und der Umgebung mit Mammographie und Sonographie zuweilen erschwert. Insbesondere die Unterscheidung von Narbengewebe und erneutem Tumorwachstum ist mit der MRT der Brust mit sehr hoher Genauigkeit möglich.
- Liegen tumorbedingte Lymphknotenschwellungen der Achselhöhle vor, für die sich mit Mammographie und/oder Sonographie keine Ursache (kein so genannter Primärtumor) finden lässt, wird ergänzend die MRT der Brust veranlasst.
Unter den vorgenannten Fragestellungen wird die MRT der Brust ganz normal auf Überweisungsschein bei Ihrer zuständigen Krankenkasse abgerechnet.
In Einzelfällen ist die Durchführung einer MRT der Brust jedoch auch bei anderen Fragestellungen hilfreich bzw. zu empfehlen. In diesen Einzelfällen ist jedoch - da es sich dann nicht um eine Regelleistung Ihrer Gesetzlichen Krankenkasse handelt - eine Individuelle Kostenübernahmeerklärung der entsprechenden Krankenkasse vor Terminierung der Untersuchung einzuholen. Ihr behandelnder Arzt/Ärztin wird Sie in einem Gespräch über das genaue Procedere informieren.
Für Versicherte Privater Krankenkassen gelten im Allgemeinen andere Regelungen.
Für die Durchführung der MRT der Brust ist in jedem Fall eine Terminvereinbarung nötig. Da das Brustgewebe innerhalb des Menstruationszyklus, bedingt durch das Wechselspiel der weiblichen Hormone, Schwankungen und Veränderungen unterliegt, und diese Veränderungen auch Einfluss auf die Aussagefähigkeit der Brust-MRT haben, führen wir die Untersuchung nur vom 7. bis 14. Zyklustag (gerechnet vom ersten Tag der Regelblutung an) durch. Bitte beachten Sie dies bei der Terminvereinbarung!
Die allgemeinen Angaben zur Methode, zu Risiken und Kontraindikationen lesen Sie bitte in unserer Patienteninformation „Magnetresonanztomographie“. Vor der Untersuchung wird Ihnen ein Aufklärungsbogen ausgehändigt, den Sie bitte sorgfältig lesen und ausfüllen müssen. Das Vorhandensein eines Herzschrittmachers stellt eine absolute Kontraindikation für eine MRT der Brust dar!
Die MRT der Brust ist eine zeitaufwendigere Untersuchung im Vergleich zu Mammographie und Sonographie. Sie wird in Bauchlage durchgeführt. Beide Brüste werden in einer entsprechenden Vertiefung des Untersuchungstisches (so genannte Brustspule) gelagert. Während der Untersuchung wird ein Kontrastmittel über eine Venenverweilkanüle gespritzt. Davor und danach werden sehr schnelle Aufnahmeserien angefertigt. Dabei wird die Brust in vielen dünnen Schichten mehrfach abgebildet. Es ist sehr wichtig, dass Sie während der Untersuchung ganz still liegen.
In einem aufwendigen Auswerteverfahren werden die vielen einzelnen Schichten (Bilder) analysiert, und unter Zuhilfename eines Computerprogrammes werden zusätzlich spezielle Berechnungen bezüglich der Kontrastmittelanflutung im Brustgewebe erarbeitet. Die Erstellung des Befundes ist daher im Allgemeinen nicht unmittelbar im Anschluss an die Untersuchung möglich. Für die vollständige und sachgerechte Bewertung der Mamma-MRT sind die Kenntnis der aktuellen Ergebnisse der Mammographie und des Ultraschalles erforderlich. Sollten diese Untersuchungen nicht in unserer Einrichtung erfolgt sein, bringen Sie bitte unbedingt die Aufnahmen (Mammographie) und schriftlichen Befunde (Ultraschall/Mammographie) zum Termin der Mamma-MRT mit.
Der abschließende Befund wird Ihrem behandelnden Arzt in wenigen Tagen nach der Untersuchung zugesandt.
Wenn Sie noch Fragen zum Sinn oder Ablauf der Untersuchung haben, oder etwas nicht verstanden haben: Bitte fragen Sie uns danach, wir werden Ihnen gerne Auskunft geben.
Wurde bei Ihnen im Rahmen der Mamma- (Brust-) Diagnostik ein auffälliger Befund ausschließlich in der Magnetresonanztomographie der Brust festgestellt, stellt der Sie betreuende Radiologe/Radiologin die Indikation zur Vakuumsaugbiopsie im MRT.
Diese Untersuchung ist an unserem Standort am Diakonissenkrankenhaus durchführbar.
Sofern die Voruntersuchungen (MRT der Brust, Mammographie, Sonographie) in unserer Praxis durchgeführt wurden, haben wir mit Ihnen bereits das Procedere besprochen.
Werden Sie uns aus einer anderen Einrichtung überwiesen, beachten Sie bitte folgende Hinweise:
Wir sind verpflichtet, vor der Gewebeentnahme die Indikation zu prüfen. Dafür benötigen wir bitte im Vorfeld der Terminplanung ALLE aktuellen und Vorbefunde der bei Ihnen durchgeführten Untersuchungen (MRT, Mammographie und Sonographie) UND alle Bilder dazu.
Leider handelt es sich bei der MRT-gestützten Biopsie der Brust (noch) NICHT um eine Regelleistung der Gesetzlichen Krankenkassen - eine Individuelle Kostenübernahmeerklärung der entsprechenden Krankenkasse muss somit vor Terminierung der Untersuchung eingeholt werden.
Wir werden Sie daher zunächst zu einem Aufklärungsgespräch (und eventuell nötigen Zusatzuntersuchungen – je nach Vorbefunden) zu uns einbestellen und Ihnen dabei alle erforderlichen Unterlagen für den Antrag auf Kostenübernahme bei Ihrer zuständigen Krankenkasse aushändigen.
Erst bei Vorlage der Kostenübernahmeerklärung Ihrer Krankenkasse können wir einen Termin vereinbaren.
Was müssen Sie noch beachten?
Blutgerinnungshemmende Mediakmente müssen einige Tage zuvor in Rücksprache mit Ihrem behandelnden Arzt pausiert werden. Wir werden dies im Aufklärungsgespräch zur Planung der Biopsie bereits mit Ihnen besprechen. Bitte beachten Sie hierzu auch die allgemeinen Hinweise zur Biopsie und fragen Sie Ihren Hausarzt/Hausärztin.
Am Tag der Untersuchung dürfen Sie wie gewohnt essen und trinken und Ihre Medikamente (außer blutverdünnenden Medikamenten – s.o.) einnehmen.
Ablauf der Biopsie
Zur Untersuchung werden Sie in bequemer Bauchlage gelagert. Die Brust wird in einer speziellen Vorrichtung (sog. Brust-Spule) platziert und milde mit einer speziellen Gitterplatte fixiert. Während der Untersuchung müssen Sie absolut ruhig liegen, um ein Verwackeln der Bilder zu vermeiden.
Zunächst werden Sie in den Kernspintomographen gefahren, um Messungen durchzuführen, die für das Auffinden des abzuklärenden Befundes benötigt werden. Dabei wird Ihnen wie bei der Mamma-MRT ein Kontrastmittel über eine Armvene appliziert.
Anhand der gewonnenen Bilder lokalisieren wir den auffälligen Befund und berechnen millimetergenau die Stelle der Gewebeentnahme. Inzwischen werden Sie wieder ein Stück aus dem Kernspintomographen herausgefahren.
Nach örtlicher Betäubung der Einstichstelle und einem winzigen Hautschnitt an der zuvor berechneten Stelle wird zunächst eine dünne Hohlnadel (sog. Führungsnadel) in die Brust vorgeschoben, danach die korrekte Lage derselben noch einmal im Kernspintomographen geprüft.
Ist alles korrekt, wird nun die spezielle Biopsienadel eingeführt. Diese ist mit einem Vakuumsystem verbunden, welches es ermöglicht, wiederholt Gewebe in die Nadel anzusaugen und abzutragen. Mehrere Gewebeproben werden aus dem verdächtigen Areal entnommen.
Danach wird die Biopsienadel entfernt und eine weitere Kontrollmessung im MRT durchgeführt, dazu werden Sie erneut in das MRT-Gerät gefahren. Selten ist es erforderlich, noch einmal Kontrastmittel über die Armvene zu applizieren.
Ist die Gewebeentnahme korrekt erfolgt, wird Ihnen an die Stelle der Gewebeentnahme (sog. Biopsiehöhle) ein 2-3 mm großer Clip aus Titan eingelegt. Dieser dient als Orientierung für spätere Kontrolluntersuchungen oder aber für das Wiederauffinden der Biopsiestelle im Falle einer erforderlichen Operation.
Wie geht es weiter?
Nach dem Eingriff muss die Punktionsstelle komprimiert werden, um die Ausbildung eines Blutergusses zu vermeiden oder zumindest zu minimieren.
Abschließend wird eine Mammographie der entsprechenden Brust angefertigt, um auch in dieser die Lage des Clip und das Ergebnis der Biopsie als Ausgangsbefund für die weiteren Kontrolluntersuchungen zu dokumentieren.
Danach wird für ca. 24 Stunden ein Brustkorb-Verband angelegt, diesen dürfen Sie am Folgetag selbst entfernen.
Nach der Untersuchung behalten wir Sie noch ca. 30 min. in unserer Praxis zur Nachbeobachtung.
Bitte beachten Sie, dass das verabreichte Lokalanästhetikum die Reaktionsfähigkeit und Verkehrstüchtigkeit beeinträchtigen kann. Sie sollten daher nach der Untersuchung nicht selbst Auto fahren.
Zu den Risiken und Komplikationen der Untersuchung sowie dem Verhalten vor und nach der Biopsie werden Sie in einem speziellen Aufklärungsbogen sowie im Gespräch mit Ihrem Radiologen/Radiologin ausführlich informiert (s. o.).
Nach der Untersuchung händigen wir Ihnen außerdem ein Informationsblatt aus, das neben den Empfehlungen zum Verhalten nach Biopsie auch unsere Kontaktdaten enthält – so können Sie sich bei Fragen und Unsicherheiten auch in den Tagen nach der Untersuchung jederzeit an uns wenden.
Der feingewebliche Befund der Gewebeentnahme liegt uns nach 4-5 Arbeitstagen vor und wird zeitnah an Ihren weiterbehandelnden Arzt/Ärztin (in der Regel Ihr Frauenarzt/-Ärztin) übermittelt - vorzugsweise per Fax. Bitte vereinbaren Sie daher dort einen Termin zur Befundbesprechung.
Mit dem feingeweblichen Befund erhält Ihr behandelnder Arzt/Ärztin alle nötigen Informationen bezüglich der weiterführenden Behandlung oder Kontrolle.
- Leber
- Beurteilung von Lebervergrößerung und Leberverfettung
Abgrenzung gutartiger (z.B. Hämangiom, FNH oder Zysten) von bösartigen Lebererkrankungen (z.B. hepatozelluläres Karzinom, Metastasenverdacht) - exakte Zuordnung krankhafter Prozesse zu einzelnen Lebersegmenten vor einer geplanten Operation.
- Quantifizierung des Eisengehalts der Leber z.B. bei Hämochromatose.
- Therapieverlaufskontrolle
- Beurteilung von Lebervergrößerung und Leberverfettung

- Gallenwegssystem
- Nichtinvasive Darstellung der Gallenwege (MRCP)
- Abklärung der Ursache einer Gallenabflussbehinderung (Tumor, Gallensteine, Entzündung)
- Pankreas
- Diagnostik des Pankreaskarzinoms und Pankreasentzündung
- weitere Einordnung von Pankreaszysten (z.B. Pseudozysten, IPMN)
- Therapieverlaufskontrolle
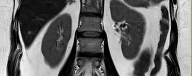
- Nieren
- Abklärung der Ursache einer Harnstauung (MR-Urographie)
- Abgrenzung gutartiger (z.B. Zysten) von bösartigen Nierenerkrankungen (Nierenzellkarzinom)
- Auffälligkeiten an Nebennieren (z.B. Adenom, Karzinom)

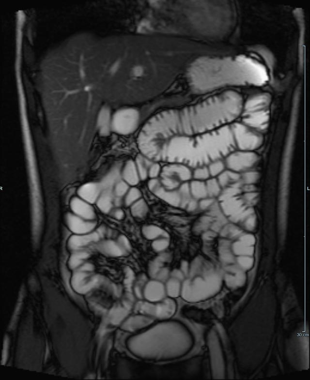
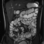
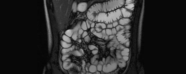
- Dünndarm/Dickdarm
- Chronisch-entzündliche Darmerkrankungen wie Morbus Crohn oder Colitis ulcerosa. Beurteilung der Ausdehnung der Entzündung, Darstellung von Fisteln oder Abszessen bzw. einer Passagebehinderung (MR-Sellink, MR-Kolonographie, beide Untersuchungen nach spezieller Vorbereitung)
- Darstellung bzw. Kontrolle im Verlauf bei perianalen Fisteln und Abszessen
- Verlaufskontrolle des Lokalbefundes nach Rektumentfernung bei Karzinom

- Bauchgefäße
- Erfassung und Verlaufskontrolle bei arteriellen Aneurysmen (Aussackungen der Arterien), vor allem der Bauchaorta
- Darstellung von Gefäßengen an Nierenarterien, Baucharterien und Becken-/Beinarterien
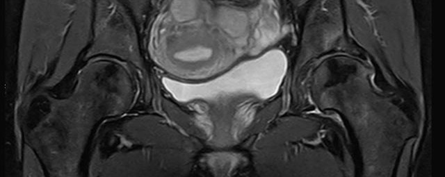
- Urogenitalorgane
- Tumordiagnostik z.B. im Bereich der Ovarien, des Uterus, der Prostata oder Harnblase
- dynamische MR-Analyse bei Beckenbodeninsuffizienz

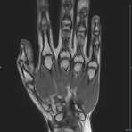
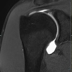
- Beurteilung von Knochen, Bändern und anderen Weichteilstrukturen der Gelenke nach Unfall.
- Arthrosediagnostik (Knorpelschaden)
- Impingement-Symptomatik
- Ursachenklärung bei wiederholter spontaner Gelenkluxation
- Ausbreitungsdiagnostik bei Gelenkentzündung, z.B. im Rahmen von rheumatischen Grunderkrankungen

- MR-Arthrographie – nach örtlicher Betäubung und gründlicher Desinfektion der Haut wird unter Lagekontrolle mit Röntgen-Durchleuchtung eine kleine Nadel in den Gelenkraum positoniert und darüber ein MR-taugliches Kontrastmittel in den Gelenkraum gespritzt. Danach wird die Nadel entfernt. Anschließend erfolgt die MRT des Gelenkes. Diese Methode stellt kleine anatomische Strukturen des Gelenkraumes verbessert dar, z.B. zur Therapieplanung vor Arthroskopie bei Sportverletzungen der Schulter oder Gelenkinstabilität.

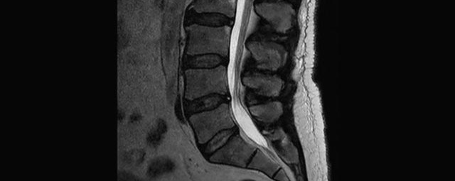
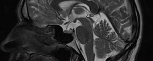
- Abklärung Bandscheibenvorfall
- Beurteilung Einengung des Rückenmarkkanals oder der Neuroforamina im Rahmen der degenerativen Wirbelsäulenerkrankung
- Tumor-/Entzündungsdiagnostik
- Multiple Sklerose
- Abklärung Spondylolisthesis
- Frakturdiagnostik (Alter und Ausdehnung der Fraktur) z.B. im Rahmen der Osteoporose

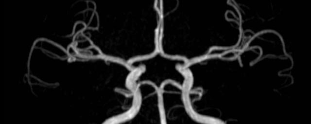
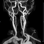
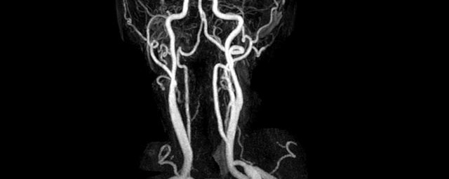
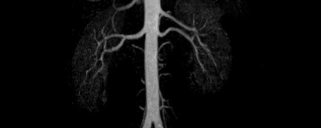
- MR-Angiografie ohne Kontrastmittel
- Time of Flight (TOF)-Angiographie
- Phasenkontrastangiographie (PCA). Geeignet zur Quantifizierung Stenose-/Insuffizienzgrad z.B. bei Herzklappen, falls echokardiographisch die Untersuchungsbedingungen eingeschränkt sind.
Je nach Fragestellung und Körperregion Gefäßdarstellung ohne Kontrastmittel bei Kontrastmittelunverträglichkeit oder terminaler Niereninsuffizienz möglich.

- MR-Angiographie mit Kontrastmittel
- Erfassung arterieller und venöser Gefäße/Bypässe aller Körperregionen mit 3D-Rekonstruktion
- je nach klinischer Fragestellung zeitaufgelöste MR-Angiographie (4D-MRA) z.B. bei Frage arteriovenöse Fistel/ Shunt oder Darstellung Unterschenkelarterien vor geplanter Bypassoperation.
Durchführung dieser Untersuchung nur an den Standorten am Diakonissenkrankenhaus und am Markkleeberg-Center
Die multiparametrische MRT (mpMRT) der Prostata ist ein modernes, strahlungsfreies Verfahren zur Früherkennung und Abklärung von Prostatakrebs. Sie kombiniert verschiedene MRT-Techniken (T2, DWI, DCE) und ermöglicht eine präzise Darstellung verdächtiger Areale. Laut aktuellen Leitlinien der Deutschen Röntgengesellschaft und Deutschen Gesellschaft für Urologie ist sie der empfohlene Standard bei erhöhtem PSA-Werten, vor Biopsien oder bei unklaren Vorbefunden.
Im Vergleich zur klassischen Ultraschallbiopsie erkennt die mpMRT klinisch relevante Tumoren zuverlässiger und hilft, unnötige Eingriffe zu vermeiden. Die Untersuchung ist schmerzfrei und dauert etwa 30–45 Minuten.
Wir führen die mpMRT der Prostata an unseren Praxisstandorten für ausgewählte Kassenpatienten, Privatpatienten und Selbstzahler durch – mit Befundung nach PI-RADS v2.1 durch erfahrene Radiolog*innen. Vereinbaren Sie gern einen Termin!
- Diffusionswichtung
- Perfusionswichtung
- Suszeptibilitätswichtung
- MR-Spektroskopie
Diese Verfahren werden bei verschiedenen Fragestellungen in verschiedenen Körperregionen in die Messprotokolle sinnvoll eingefügt. Teilweise können dadurch Differenzierungenverschiedener krankhafter Prozesse verbessert werden.
Vor der Untersuchung wird Ihnen ein Aufklärungsbogen ausgehändigt, den Sie bitte sorgfältig lesen und ausfüllen müssen.
Die MRT arbeitet mit starken Magnetfeldern und ist absolut schmerzfrei. Entfernen Sie bitte jedoch vor der Untersuchung Schmuck, Piercing, Uhr, Mobiltelefon, Haarnadeln, Brille, Geldbörse, Scheckkarten und sonstige magnetische Gegenstände. Verwenden Sie bitte im Untersuchungsbereich keine möglicherweise metallhaltigen Kosmetika (z. B. Lidschatten etc.)
Bitte weisen Sie in jedem Fall auf eine bestehende Schwangerschaft hin und besprechen Sie Medikamentenallergien mit dem Arzt, damit gegebenenfalls ein geeignetes Kontrastmittel gewählt werden kann.
Wenn Sie auf dem Untersuchungstisch liegen, werden Messspulen in der zu untersuchenden Körperregion platziert. Abhängig von der geplanten Untersuchung wird Ihnen evtl. vorher eine Venenverweilkanüle für die geplante Kontrastmittelinjektion gelegt, um besondere Körperstrukturen sichtbar zu machen. Anschließend werden Sie auf dem Tisch in den Magnettunnel gefahren. Bitte lassen Sie sich durch die Klopfgeräusche, die das System verursacht, nicht irritieren, sie erhalten Ohrstöpsel oder Kopfhörer.
Während der Untersuchung sollten Sie vollkommen ruhig bleiben. Schon geringste Bewegungen verursachen Bildstörungen und beeinflussen die Beurteilbarkeit der Aufnahmen.
Bei Untersuchungen des Bauchraumes erhalten Sie per Lautsprecher Atemkommandos, unsere MTR befinden sich im Nebenraum und können Sie sehen.
Sie erhalten vor Beginn der Untersuchung eine Notfallklingel in die Hand, hiermit können Sie sofort Kontakt zu den Röntgenassistenten aufnehmen.
Die Untersuchungszeit liegt je nach Körperregion und Umfang der Untersuchung bei 10–30 min.
Bei vielen Fragestellungen verbessert die zusätzliche intravenöse Gabe von Kontrastmittel die Aussagekraft der MRT. MRT-Kontrastmittel enthält Gadolinium, eine seltene Erde, die das lokale Magnetfeld in der zu untersuchenden Körperregion je nach Gewebeart verändert. Weichteilstrukturen können so besser voneinander differenziert werden. Entzündungen sind in Ihrer Ausdehnung sehr gut darstellbar. Kontrastmittel kann auch in der MRT bei der Unterscheidung zwischen gutartigen und bösartigen Tumoren helfen.
Im Allgemeinen wird MRT-Kontrastmittel sehr gut vertragen. In wenigen Fällen kann die Gabe von Kontrastmittel jedoch eine allergische Reaktion auslösen. In leichten Fällen führt dies z.B. zu Übelkeit oder Hautausschlag. Je nach Schweregrad der allergischen Reaktion kann es aber auch zu Atemnot oder Herzrasen oder in den seltensten Fällen zu einem Kreislaufversagen kommen.
Die medizinische Behandlung einer allergischen Reaktion durch Kontrastmittel führen unsere radiologischen Fachärzte durch. In besonders schweren Notfällen helfen Ihnen in unserer Praxis jedoch auch die ärztlichen Kollegen der Klinik für Anästhesie und Intensivmedizin des Diakonissenkrankenhauses.
Zu beachten ist:
- Allergie
Wenn bei Ihnen eine frühere allergische Reaktion bekannt ist, teilen Sie dies bitte der MTR und dem zuständigen Radiologen mit! Je nach Ausprägung der bekannten Allergie wird mit Ihnen über das weitere Vorgehen beraten. - Nierenfunktion
Vor einer Gabe von Kontrastmittel in die Armvene muss sichergestellt sein, dass die Funktion der Nieren nicht eingeschränkt ist, da MRT-Kontrastmittel über die Nieren ausgeschieden wird.
Falls bei Ihnen der medizinische Verdacht auf eine Nierenerkrankung vorliegt, bitten Sie Ihren zuweisenden Hausarzt oder Facharzt, Ihnen Ihre aktuellen Blutwerte der Nierenfunktion (Creatinin und/oder GFR) mitzuteilen.
Bei schwerer Niereninsuffizienz wird in den letzten Jahren angenommen, dass gadoliniumhaltiges MRT-Kontrastmittel eine Nephrogene systemische Fibrose (NSF), eine schwere Erkrankung des Hautgewebes und der Organe, hervorrufen kann. Weltweit wurden bislang 315 NSF-Fälle beschrieben.
In unserer Praxis werden keine Kontrastmittel verwendet, nach deren Gabe in den letzten Jahren in der medizinischen Fachliteratur eine NSF beschrieben wurde.
Für die Durchführung der MRT ist in jedem Fall eine Terminvereinbarung nötig.
Nur bei einigen wenigen MRT-Untersuchungen wird eine gezielte Vorbereitung benötigt, z.B. mit Pausierung bestimmter Medikamente oder kurzzeitiger Diät. Wie Sie sich als Patient auf eine MRT-Untersuchung vorbereiten, teilt ihnen das Personal der Radiologischen Praxis oder Ihr zuweisender Hausarzt/Facharzt mit.
Kontraindikationen
- Herzschrittmacher und ICD-Systeme können durch die Untersuchung beschädigt werden. Die magnetischen Wechselfelder können den Schrittmacher und die implantierten Elektroden erwärmen, bewegen oder in ihrer Funktion stören.
- Metallsplitter oder Gefäßclips aus ferromagnetischem Material in ungünstiger Lage (z.B. im Auge oder im Gehirn).
- Temporärer Cava-Filter.
- Erstes Trimenon (= 1.–13. Woche) der Schwangerschaft (relative Kontraindikation).
- Cochleaimplantat.
- Implantierte Insulinpumpen (externe Pumpen müssen zur Untersuchung abgelegt werden).
- Große oder schleifenförmig angeordnete Tätowierung im Untersuchungsgebiet (metallhaltige Farbpigmente können sich erwärmen bzw. Hautverbrennungen bis II. Grades hervorrufen).
- Klaustrophobie („Raumangst“) ist eine relative Kontraindikation, Untersuchungen können dennoch in Sedierung (Injektion geringer Mengen von Midazolam, Beruhigungsmittel) nach vorheriger Absprache/Aufklärung erfolgen. Bitte beachten Sie unsere Informationen zu Kosten einer Sedierung.
Im Falle einer Sedierung erfolgt während der Untersuchung zu Ihrer Sicherheit die kontinuierliche Überwachung der Sauerstoffsättigung im Blut und Ihrer Herzfrequenz.
In diesem Fall bringen Sie sich bitte eine Begleitperson für den Heimweg mit. Eine aktive Teilnahme am Straßenverkehr bzw. unmittelbar nachfolgende Berufstätigkeit am Untersuchungstag wird nicht empfohlen. - Größere, nicht abnehmbare Piercings aus magnetischen Materialien.
Am Untersuchungstag bitte mitbringen:
- Überweisungsschein
- Chipkarte Ihrer Krankenversicherung
- Allergiepass
- Lesebrille
- aktuelle Laborwerte (Creatinin und/oder GFR) bei erforderlicher Kontrastmittelgabe und Verdacht auf bzw. bekannte Nierenfunktionseinschränkung
Bringen Sie am Untersuchungstag bitte möglichst auch Befunde und Aufnahmen von Voruntersuchungen der betreffenden Körperregion mit, die nicht in unserer Praxis erstellt wurden, damit wir die Ergebnisse vergleichen und zeitnah einen Befund fertig stellen können.
Sollten Sie eine MRT- Untersuchung aufgrund einer Angst vor engen Räumen (Klaustrophobie) nach eigenen Angaben nur mit Hilfe einer Sedierung tolerieren können, bieten wir die Möglichkeit einer Untersuchung mit angstlösenden Medikamenten an. Wir verwenden hierzu das Medikament Midazolam (Dormicum®) zur intravenösen Gabe. Vor der Untersuchung werden Sie darüber aufgeklärt.
Bei der Gabe des Medikamentes gibt es unter anderem folgendes zu beachten:
- Fahrtüchtigkeit
Zentral wirksame Beruhigungsmedikamente beeinträchtigen die Fahrtüchtigkeit und die Fähigkeit zum Bedienen schwerer oder gefährlicher Maschinen. Deswegen ist es erforderlich eine volljährige Begleitperson mitzubringen. Sie dürfen auf dem Weg nach Hause nicht selbständig bzw. allein am Straßenverkehr (auch als Fußgänger) teilnehmen und am Tag der Injektion kein KFZ führen bzw. gefährliche Maschinen bedienen. - Wechselwirkungen
Es kann zu Wechselwirkungen mit anderen Medikamenten kommen, die Sie u. U. einnehmen, weshalb eine Information über Ihre sonstigen Medikamente für uns wichtig ist. Ihre Atemfunktion wird zudem durch Messung des Sauerstoffpartialdruckes während der MRT-Untersuchung überwacht. Sehr selten können auch allergische Reaktionen auftreten. Alle Mitarbeiter sind in Notfallmaßnahmen geschult. - Kosten der Sedierung
Die gesetzlichen Krankenkassen übernehmen die Kosten einer Beruhigung / Sedierung während einer MRT-Untersuchung nicht. Deshalb müssen wir Ihnen die entstehenden Kosten als private Leistung gemäß Gebührenordnung für Ärzte (GOÄ) in Rechnung stellen.
Die Kosten für eine Sedierung betragen für Patienten der gesetzlichen Krankenkassen ca. 30 €.
Wenn Sie gesetzlich versichert sind, müssen Sie die Rechnung zunächst selbst bezahlen. Sie können eine Erstattung bei Ihrer Krankenkasse beantragen, jedoch wird dies nur in Ausnahmefällen erfolgreich sein.
-
Philips MRT-Gerät INGENIA 1,5 T
Mit erweitertem Innendurchmesser
für besseren Patientenkomfort
am Standort Diakonissenkrankenhaus -
Siemens MRT-Gerät Magnetom Altea am
Standort Schönefeld -
SIEMENS MRT-Gerät
Siemens Magnetom Altea
am Standort Markkleeberg -
SIEMENS MRT-Gerät
Avanto Fit Bio Matrix am
Standort Diakonissenkrankenhaus